Evaluation of Mandibular Third Molars Impaction Related to Inferior Alveolar Nerve by Using Panoramic Radiography in Zliten City, Libya: A retrospective study
Keywords:
impacted third molar, inferior alveolar nerve (IAN), panoramic radiographies, libyan populations, winter classification, pell, gregory classificationAbstract
Abstract
Objectives:
This study investigates the relationship between impacted third molars and inferior alveolar nerve (IAN) by using panoramic x-ray.
Material and Methods:
A retrospective study was conducted at Assalam Dental Center in Zliten, Libya. We selected panoramic radiographic images of 65 patients (31 Female and 34 Male) between ages (17and 84 years) with 73 impacted mandibular third molars from the database of Assalam Dental Center that requires surgical extraction of their wisdom teeth.
Results:
Thirty-eight lower third molars out of the 73 impacted teeth were at high risk of damage to the inferior alveolar nerve with 52%, 11 impacted teeth with low risk to the inferior alveolar nerve, and 24 impacted teeth with no risk.
Conclusion:
This digital radiographic study shows the importance of the preoperative radiographic in planning before the extraction of the lower third molars to avoid the risk of nerve damage.
Downloads
Introduction
The majority of the mandibular third molars erupt within average age (17-20) . Similar data from other publications showed that the average age eruption of mandibular third molars is (18-24) . However, mandibular third molars are rare to erupt after 24. Some mandibular third molars are prevented from eruption within the eruption time into the dental arch for local and systemic reasons such as arch-length deficiency, Down’s syndrome, cleidocranial dysplasia , and these cases, and they are termed as an "impacted tooth ."The incidence of lower third molar impaction was more common than other teeth . Studies have reported the prevalence of impacted third molars in the range of 30.3% to 68.6% . The extraction and surgical removal of impacted mandibular third molars are considered the most common treatment options in oral and maxillofacial surgeries. The extraction could result in triggered pain or impaired chewing or when the impacted mandibular teeth are associated with a cyst, tumor lesions, or pericoronitis [9, 10]. In addition, studies show partial erupted mandibular third molars associated with a high incidence of dental caries and periodontal loss of the adjacent second molars . Before removing the lower impacted third molars, clinicians must assess the sagittal relationship between impacted mandibular third molars and inferior alveolar nerve (IAN) to avoid nerve injury. There are not enough publications and articles in Libya that discuss this matter. Therefore, this study's result will help accomplish more relevant information on many factors such as age, gender, incidence, and several lower impacted third molars.
Material and Methods
This study is retrospective, and the information of all patients used in this study was taken from the database of Assalam Dental Center in Zlitan, Libya. The patients were introduced to the dental clinic seeking dental treatment related to impacted mandibular third molars. As a part of routine clinical examinations, patients get panoramic radiographic taken before extraction or surgical removal of their impacted lower third molars. Soredex is the panoramic radiographic brand used in the clinic and stores all radiographic information in a digital database. We selected 65 patients (31 Female and 34 Male) with 73 impacted mandibular third molars in this study. Two examiners have assessed the relation of each impacted mandibular third molars to IAN according to Winter's and Pell and Gregory classifications. Therefore, the information is only registered when the two examiners agree about the data.
Statistical analysis
Descriptive statistics gives mean ± standard deviation with minimum and maximum for continuous variables and numbers with valid percentages for categorical variables. Used Pie and Bar charts to display the clinical variables and classifications. Statistical analyses were performed using IBM SPSS Statistics (Version 28; IBM Corporation 1989, 2021).
Figure 1. The Winter classification for impacted third molar angulation. (b) The Pell and Gregory Classification of impacted third molar depth in relation to the cementoenamel junction of the second molar. (c) The Pell and Gregory Classification of impacted third molars in relation to the anterior border of the ramus.
Results
A total of 65 patients (31 female and 34 male) includes in this study, and most participants were referred to the clinic for extraction and classified as ASA I. A total of 73 impacted mandibular third molars were founded on both right and left sides. The distribution of impacted mandibular third molars of included subjects was 70% female, and 54% were males. Females had a more significant number of impacted mandibular third molars than males. Of the 73 impacted mandibular third molars, 38 teeth were at high risk of damage to the inferior alveolar nerve with 52%, a total of 11 impacted teeth with low risk to the inferior alveolar nerve, and 24 impacted teeth with risk.
| Impacted | Total Number | Percentage % |
| Female | 39 | 70% |
| Male | 34 | 54% |
Figure 2. Risk of nerve damage
Figure 3. The distribution of subjects according to the total number of impacted third molars between high, low, and no risk to IAN with given reasons of the high and low risk.
Discussion
Studies reported that the most commonly extracted teeth were the lower third molars followed by premolars [13]. The removal of the impacted third molars is a standard surgical procedure. However, in the meantime, it may associate with post-surgical complications such as bleeding, nerve damage, dry socket, swelling, pain infection, and others. According to this study, there are many reasons to extract the impacted third molars. The most common is caries in the 2nd and 3rd molars, one or more episodes of infection, and external resorption of 2nd and 3third molars.
Figure 4. Reasons for removal of lower third molars.
Panoramic radiography is used to evaluate the relationship between impacted third molars and inferior alveolar nerve (IAN) . With digital panoramic x-ray and following the guidelines of Winter and The Pell and Gregory , we can assess the relationship of impacted mandibular third molars to inferior alveolar nerve and whether the impacted molars have high, low, or no risk to IAN.
In this study, the angulation of the impacted third molars was determined radiographically using Winter classification. The relationship of the mandibular third molars to the ramus of the mandible and the depth level in the bone were evaluated according to the Pell and Gregory classification in this study. The radiographic data of participants were divided into three groups high, low, and no risk based on the radiographic evaluation. There is high-risk nerve damage in some cases if the canal's interruption, the canal's diversion, or the roots' darkening are present. However, some radiologic data showed a low chance of nerve damage if we have a deflection of the roots, narrowness of the roots, and canal narrowing. Also, there is no risk of damaging the nerve if we exclude the factors mentioned earlier.
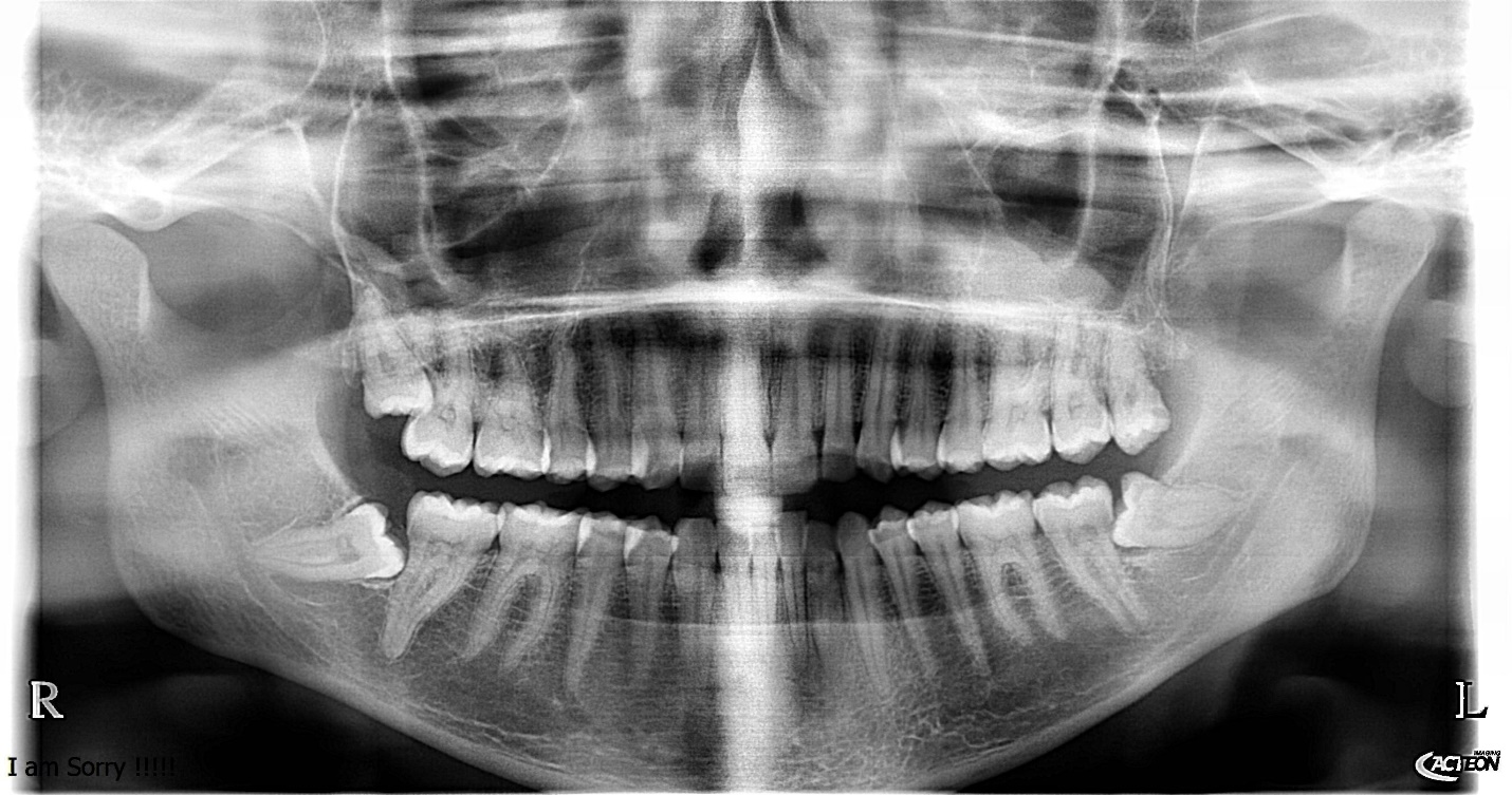
Figure 5. This panoramic showed all signs of a high risk of nerve injury (Darkening the roots. Diversion of the canal, interruption of the canal cortical)
Figure 6. This Panoramic X-ray showed signs of a low risk of nerve injury.
Figure 7. This panoramic radiographic shows no risk of nerve injury.
Conclusions
Inferior alveolar nerve damage is a possible complication after surgical removal of the lower third molars. It causes changes in sensation and tingling. This panoramic radiographic study can help clinicians identify the risk of nerve damage and propose the importance of preoperative planning before the extraction of the lower third molars. Also, help general dentists to know the complexity of the case and when they need to referee it to specialized dentists in oral surgery to manage it. However, further studies with many patients are required to draw a firm conclusion.
References
1. Odusanya, S.A., I.O.J.O.s. Abayomi, oral medicine,, and o. pathology, Third molar eruption among rural Nigerians. 1991. 71 2: p. 151-4.
2. Von Wowern, N. and H.O. Nielsen, The fate of impacted lower third molars after the age of 20. A four-year clinical follow-up. Int J Oral Maxillofac Surg, 1989. 18(5): p. 277-80.
3. Hassan, A.H., Pattern of third molar impaction in a Saudi population. Clin Cosmet Investig Dent, 2010. 2: p. 109-13.
4. Bishara, S.E. and G. Andreasen, Third molars: a review. Am J Orthod, 1983. 83(2): p. 131-7.
5. Schersten, E.; Lysell, L.; Rohlin, M. Prevalence of impacted third molars in dental students. Swed. Dent. J. 1989, 13, 7–13.
6. Quek, S.; Tay, C.; Tay, K.; Toh, S.; Lim, K. Pattern of third molar impaction in a Singapore Chinese population: A retrospective radiographic survey. Int. J. Oral Maxillofac. Surg. 2003, 32, 548–552.
7. Umar, G.; Bryant, C.; Obisesan, O.; Rood, J. Correlation of the radiological predictive factors of inferior alveolar nerve injury with cone beam computed tomography findings. Oral Surg. 2010, 3, 72–82.
8. Tay, A.; Zuniga, J.R. Clinical characteristics of trigeminal nerve injury referrals to a university centre. Int. J. Oral Maxillofac. Surg. 2007, 36, 922–927.
9. Hattab, F.N., M.A. Rawashdeh, and M.S. Fahmy, Impaction status of third molars in Jordanian students. Oral Surg Oral Med Oral Pathol Oral Radiol Endod, 1995. 79(1): p. 24-9.
10. JK, M.a., Impacted third molars and associated pathology in Jordanian patients. Saudi Dental Journal 2000. 12: p. 16-19.
11. Schersten, E., L. Lysell, and M. Rohlin, Prevalence of impacted third molars in dental students. Swed Dent J, 1989. 13(1-2): p. 7-13.
12. Alfadil, L. and E. Almajed, Prevalence of impacted third molars and the reason for extraction in Saudi Arabia. Saudi Dent J, 2020. 32(5): p. 262-268.
13. Jafarian, M. and A. Etebarian, Reasons for extraction of permanent teeth in general dental practices in Tehran, Iran. Med Princ Pract, 2013. 22(3): p. 239-44.
14. Deliverska, E.G., Petkova, M., Complications After Extraction of Impacted Third Molars - Literature Review. Journal of IMAB - Annual Proceeding, 2016. 22(3): p. 1202 -1211.
15. Gupta S, Bhowate R., Nigam N, Saxena S. Evaluation of impacted mandibular third molars by panoramic radiography. ISRN dentistry, Volume 2011 (2011), Article ID 406714, 8 p
16. Winter, G.B., Principles of exodontia as applied to the impacted mandibular third molar: a complete treatise on the operative technic with clinical diagnoses and radiographic interpretations. 1926: American medical book company.
17. Pell, G.J., Gregory, G.T., Impacted mandibular third molars: classification and modified technique for removal. The Dental Digest 1933. 39.
Published
Issue
Section
License
Copyright (c) 2022 Maree Shabeesh

This work is licensed under a Creative Commons Attribution-NonCommercial-ShareAlike 4.0 International License.
The journal allows the author(s) to hold the copyright without restrictions and will retain publishing rights without restrictions.
The submitted papers are assumed to contain no proprietary material unprotected by patent or patent application; responsibility for technical content and for protection of proprietary material rests solely with the author(s) and their organizations and is not the responsibility of the journal. The main (first/corresponding) author is responsible for ensuring that the article has been seen and approved by all the other authors. It is the responsibility of the author to obtain all necessary copyright release permissions for the use of any copyrighted materials in the manuscript prior to the submission.
What are my rights as an author?
It is important to check the policy for the journal to which you are submitting or publishing to establish your rights as
Author. Journal's standard policies allow the following re-use rights:
- The journal allows the author(s) to hold the copyright without restrictions.
- The journal allows the author(s) to obtain publishing rights without restrictions.
- You may do whatever you wish with the version of the article you submitted to the journal.
- Once the article has been accepted for publication, you may post the accepted version of the article on your own personal website, your department's website or the repository of your institution without any restrictions.
- You may not post the accepted version of the article in any repository other than those listed above (i.e. you may not deposit in the repository of another institution or a subject-matter repository) until 12 months after publication of the article in the journal.
- You may use the published article for your own teaching needs or to supply on an individual basis to research colleagues, provided that such supply is not for commercial purposes.
